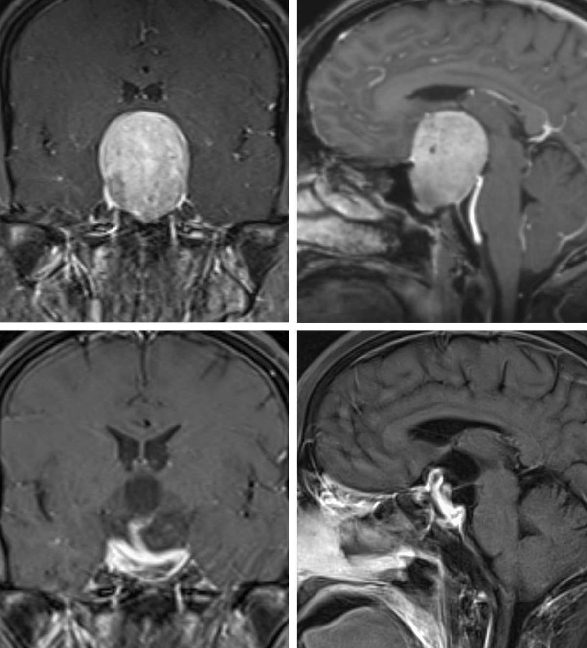
Pituitary Brain Tumors are one of the commonest brain tumors and arise from the pituitary gland which is the master hormonal gland of the human body and is located at the base of the brain and at the roof of the nose. As the tumor grows, it expands upwards compressing the visual nerves and sidewards entering the cavernous sinus which has the main carotid artery of the brain and nerves which help us move our eyes and open our eyes.
By virtue of the fact that pituitary brain tumors are mostly benign and do not arise from the brain/nerves rather simply compressing them, they are relatively better brain tumors.

Hormonal (over-production of certain hormones): Hormonally Functioning Pituitary Tumors
Visual: Hormonally Non-Functioning Pituitary Tumors
Pituitary Apoplexy (sudden bleeding and bursting of Pituitary Tumors)
Pituitary tumors can suddenly explode and bleed with disastrous consequences ranging from sudden onset coma to sudden onset loss of vision to sudden onset loss of movement of the eyes to sudden onset inability to open the eyes.

Hormonally Functioning Pituitary Tumors (over-production of certain hormones):
Over-production of Growth Hormone resulting in Acromegaly if the problem starts in adulthood/rarely Gigantism if the problem starts from childhood. External features of Acromegaly include enlarged hands/feet, enlarged facial features (lips/nose/tongue), coarse & oily skin, deepened husky voice.
Internal damage due to excessive Growth Hormone leads to hypertension, diabetes, heart disease, arthritis, kidney problems.
Hormonally Functioning Pituitary Tumors (over-production of certain hormones):
Prolactinomas with hugely excess secretion of Prolactin hormone present with Amenorrhea or irregular periods, Galactorrhea or milky discharge from the breasts, Infertility among women and erectile dysfunction/infertility among men.

Upwards growth of the Pituitary Tumors compresses the visual nerves and leads to decrease in vision. The visual nerves initially tolerate the compression but as the compression exceeds the tolerance levels of the visual nerves, vision starts decreasing rapidly. Initially, there may be vision decrease only in the visual fields to the side.
Pituitary Apoplexy (sudden bleeding and bursting of Pituitary Tumors) Pituitary tumors can suddenly explode and bleed with disastrous consequences ranging from sudden onset coma to sudden onset loss of vision to sudden onset loss of movement of the eyes to sudden onset inability to open the eyes.
MRI with contrast would diagnose correctly the size and extension of Pituitary Brain Tumors and the extent of upwards visual nerve compression and sidewards cavernous sinus invasion by the tumor.
Pre-operative hormonal assessment in Hormonally Functioning Pituitary Tumors for diagnosis of Acromegaly, Cushings’ Syndrome, Prolactinomas.
Pre-operative hormonal assessment in Hormonally Non-Functioning Pituitary Tumors may detect decrease in thyroxine, steroids, sexual hormones.
Pre-operative visual assessment would document the degree of visual compromise.
Prolactinomas are normally treated medically unless the patient presents with apoplexy or significant visual deterioration.
Small Pituitary Brain Tumors without significant upwards/sidewards extension can be managed with either a Wait and Watch policy or Radiosurgery. However, follow-up MRIs would be required to see for increase in tumor size.
Pituitary Brain Tumors are an interesting class of Brain Tumors which are mostly operated through the nose which offers the most direct route of approach to this tumor. In addition to the Neurosurgical operating microscope, endoscopes are also used to take out the tumor.
Patients with Acromegaly have a good prognosis in the sense that all internal damage due to excessive Growth Hormone ceases immediately following correction of Growth Hormone levels to normal after successful surgery. Therefore, it is imperative that external features of Acromegaly get picked up and investigated by general care physicians before significant internal damage occurs.
Patients with Prolactinomas have a good prognosis in the sense that excessive Prolactin levels normalizes immediately following successful surgery. Amenorrhea or irregular periods return to normal, Galactorrhea or milky discharge from the breasts stops, Infertility among women improves and erectile dysfunction/infertility among men improves following successful surgery.
Miraculous recovery in vision if surgery is done on time
The first purpose of surgery is to prevent further neurological deterioration.
Recovery in patients who already have visual symptoms is quite miraculous in patients with Pituitary Brain Tumors operated well unless they present with near-blindness. Recovery happens over weeks/months.
Actually, recovery is unpredictable only if the patient presents with near-blindness or pituitary apoplexy. Therefore, it is imperative that all cases of unexplained visual deterioration should undergo MRI of the brain to detect Pituitary Brain Tumors before it is too late.
In view of miraculous improvement in vision if operated properly on time and in view of the fact that Pituitary Brain Tumors are benign brain tumors, they are definitely a better class of brain tumors to have. And therefore, it is one of the most gratifying brain tumor surgeries because a good surgery can bring back vision.

Some pituitary brain tumors at presentation are giant and cannot be taken out through the nose and require brain surgery. They may be difficult to remove completely and their prognosis is not as good as most of the Pituitary Tumors.
The first purpose of surgery is to prevent further neurological deterioration.
Recovery in patients who already have visual symptoms is quite miraculous in patients with Pituitary Brain Tumors operated well unless they present with near-blindness. Recovery happens over weeks/months.
Actually, recovery is unpredictable only if the patient presents with near-blindness or pituitary apoplexy. Therefore, it is imperative that all cases of unexplained visual deterioration should undergo MRI of the brain to detect Pituitary Brain Tumors before it is too late.
In view of miraculous improvement in vision if operated properly on time and in view of the fact that Pituitary Brain Tumors are benign brain tumors, they are definitely a better class of brain tumors to have. And therefore, it is one of the most gratifying brain tumor surgeries because a good surgery can bring back vision.